
Khối u vai nặng 1,5kg làm biến dạng vai người đàn ông - Ảnh: BVCC
Ngày 31-10, Bệnh viện Giao thông vận tải thông tin vừa phẫu thuật thành công, cắt bỏ khối u phần mềm vùng vai phải khổng lồ phức tạp cho bệnh nhân nam 41 tuổi.
Theo các bác sĩ, đây là ca bệnh phức tạp, khối u lớn phát triển trong nhiều năm, gây biến dạng vai và ảnh hưởng nghiêm trọng đến sinh hoạt, lao động của người bệnh.
Anh Ngô Trọng H. (41 tuổi, trú tại Nha Trang) chia sẻ khối u vùng vai được phát hiện cách đây khoảng 5 năm, ban đầu nhỏ nhưng tăng dần kích thước, khiến vai phải phồng to, mất cân đối. Thời gian gần đây, khối u phát triển nhanh, gây đau nhức, ảnh hưởng đến vận động nên bệnh nhân quyết định đến Bệnh viện Giao thông vận tải để thăm khám.
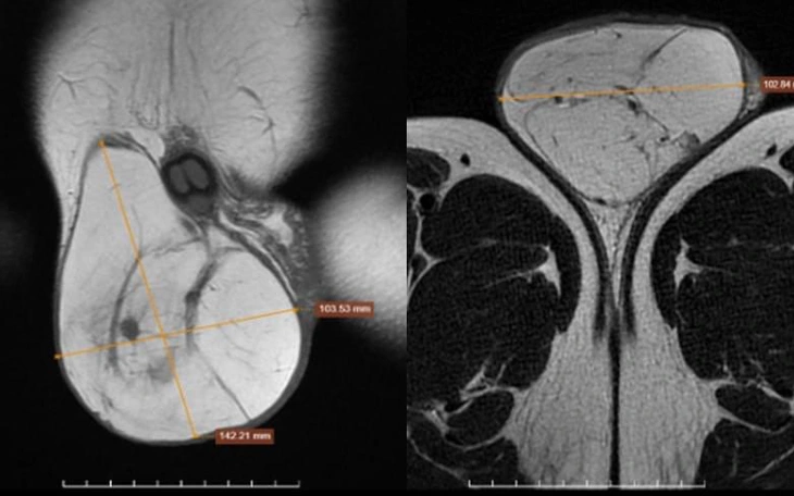
Sau khi được khám lâm sàng, chụp cộng hưởng từ (MRI), các bác sĩ chẩn đoán bệnh nhân mắc u phần mềm khổng lồ vùng vai phải, cần phẫu thuật để tránh biến chứng chèn ép cơ, mạch máu và thần kinh.
Trực tiếp thực hiện ca mổ, TS Bùi Sỹ Tuấn Anh, Giám đốc Bệnh viện Giao thông vận tải, cùng các bác sĩ đã cẩn trọng bóc tách, cắt trọn khối u nặng khoảng 1,5kg. Đồng thời bảo tồn tối đa các cấu trúc cơ, mạch máu và thần kinh vùng vai để đảm bảo chức năng vận động cho người bệnh.
Sau phẫu thuật, bệnh nhân hồi phục tốt, vết mổ khô, không đau nhiều, người bệnh có thể vận động và cử động tay trở lại bình thường.
Bác sĩ Anh cho hay u phần mềm khổng lồ là bệnh lý hiếm gặp, nếu không xử lý sớm có thể gây chèn ép các cấu trúc quan trọng, thậm chí hoại tử hoặc mất chức năng chi thể.
Các bác sĩ khuyến cáo người dân khi có biểu hiện bất thường, vùng vai hay cơ thể xuất hiện u cục cần đến cơ sở y tế để được thăm khám và điều trị kịp thời, tránh những biến chứng đáng tiếc.
 
            
         
                 
                    
 
                   
                 
                   
                 
                   
                 
                     
                         
                         
                         
                         
                         
                         
             
        
Tối đa: 1500 ký tự
Hiện chưa có bình luận nào, hãy là người đầu tiên bình luận