Tag: quan hệ tình dục

Độ tuổi có quan hệ tình dục ngày càng sớm

Theo Tổ chức Y tế thế giới, mỗi ngày có hơn 1 triệu ca mắc các bệnh lây truyền qua đường tình dục có thể chữa khỏi, chủ yếu ở nhóm tuổi từ 15-49.

Coi chừng rối loạn cương dương tuổi thanh niên

Nghiện thủ dâm dễ dẫn đến rối loạn cương dương. Chứng bệnh khó nói này chủ yếu thường gặp ở nam giới trung niên, lớn tuổi nhưng hiện nay nhiều người trẻ đang ở độ tuổi 20-30, lứa tuổi được coi là sung mãn nhất của nam giới, cũng gặp tình trạng này.

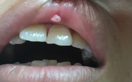
Oral sex tưởng an toàn, cô gái trẻ mắc sùi mào gà ở miệng

Một cô gái 23 tuổi tại Hà Nội đi khám vì những tổn thương nhỏ trong khoang miệng, tưởng chỉ là nhiệt miệng thông thường.

Bác sĩ bỏ bệnh nhân giữa ca mổ để... 'tình tang' với y tá

Một bác sĩ gây mê tại Anh đối diện với phiên điều trần nghề nghiệp sau khi bỏ bệnh nhân đang được gây mê trên bàn mổ để quan hệ tình dục với một y tá ở phòng khác.

Nghiên cứu gây sốc: Muỗi khoái người uống bia và mới 'yêu'

Nghiên cứu mới tiết lộ muỗi chẳng hề 'chọn bừa': chúng đặc biệt bị thu hút bởi những ai uống bia và vừa có hoạt động tình dục.

10 ngày sau cuộc ‘vui vẻ’, nam thanh niên nhiễm vi khuẩn thường gây viêm não mô cầu

Chỉ 10 ngày sau một cuộc “vui vẻ”, thanh niên 28 tuổi tại Hà Nội thấy xuất hiện triệu chứng bất thường ở vùng kín. Tại cơ sở y tế, các bác sĩ phát hiện người này mắc cùng lúc hai vi khuẩn, trong đó có vi khuẩn thường gây viêm não mô cầu.

Ép người vay phải chụp ảnh khỏa thân, quan hệ tình dục

Tín yêu cầu người vay lãi nặng viết giấy nợ, chụp ảnh khỏa thân và căn cước công dân, hoặc Tín sẽ chụp ảnh khỏa thân của người vay tiền. Còn muốn vay thêm tiền thì phải cho Tín quan hệ tình dục và quay video lại.

Bí mật về chuyện quan hệ tình dục tốt cho sức khỏe

Quan hệ tình dục điều độ, đều đặn là liều thuốc tốt cho sức khỏe và tinh thần. Quan hệ tình dục không chỉ là vấn đề sinh lý, cảm xúc mà còn đem đến lợi ích bất ngờ cho sức khỏe tim mạch, tiết niệu...

Vợ chồng 'cấm vận chăn gối', nên không?

Có nên cấm vận tình dục? Cuộc sống hôn nhân có nhiều điểm khác biệt với thời kỳ hẹn hò. Nó đòi hỏi nhiều hơn sự chia sẻ, thấu hiểu và thông cảm lẫn nhau. Trong đó tình dục cũng là một yếu tố quan trọng để duy trì chất "lửa" trong mối quan hệ.

'Cậu nhỏ' quá dài có là lợi thế trong 'chuyện ấy'?

Mới đây, Trung tâm y học giới tính Hà Nội (Bệnh viện Nam học và Hiếm muộn Hà Nội) đã tiếp nhận một ca đặc biệt khi lợi thế của người chồng lại vô tình trở thành nguyên nhân khiến người vợ gặp khó khăn trong đời sống tình dục.