
Nếu sử dụng vú giả cho trẻ thời gian dài, trẻ dễ gặp nguy cơ như cắn hở, vẩu răng cửa... - Ảnh minh họa
Núm vú giả từ lâu đã trở thành một vật dụng phổ biến trong việc chăm sóc trẻ sơ sinh và trẻ nhỏ. Không ít bậc cha mẹ coi đó là "cứu tinh" giúp trẻ nín khóc, dễ ngủ và cha mẹ có thêm thời gian nghỉ ngơi và tranh thủ làm việc.
Thực tế, thói quen ngậm núm vú giả là phổ biến, như hiện tượng tự nhiên lúc trẻ còn nhỏ. Tuy nhiên điều mà nhiều cha mẹ chưa lường hết là thói quen tưởng như vô hại này có thể ảnh hưởng lâu dài đến sự phát triển xương hàm, răng và cả khuôn mặt của trẻ.
Theo thống kê quốc tế, có tới 63% trẻ từ 0-6 tuổi từng sử dụng núm vú giả. Phần lớn trong số đó dừng lại ở độ tuổi 2-4, nhưng vẫn còn một tỉ lệ đáng kể tiếp tục kéo dài sang giai đoạn mọc răng vĩnh viễn. Chính từ đây, những rắc rối về răng miệng, ngôn ngữ, tai mũi họng và tâm lý bắt đầu xuất hiện.
Nguy cơ từ thói quen phổ biến
Hành vi mút ngón tay hoặc núm vú giả xuất hiện ở hầu hết trẻ nhỏ. Ngay từ tuần thai thứ 15-20, nhiều thai nhi đã được quan sát thấy mút ngón tay qua hình ảnh siêu âm. Khi chào đời, trẻ tiếp tục duy trì phản xạ này như một bản năng tự vệ và tự trấn an.
Nhiều nghiên cứu cho thấy, trẻ từ 0-6 tuổi có khoảng 63% trẻ từng dùng núm vú giả ít nhất một lần. Tỉ lệ cao nhất rơi vào giai đoạn 0-2 tuổi, sau đó giảm dần nhưng vẫn tồn tại ở một số trẻ lớn hơn.
Thông thường, trẻ sẽ tự bỏ thói quen này trước 4 tuổi. Nếu thói quen còn kéo dài khi răng vĩnh viễn bắt đầu mọc (khoảng 6 tuổi), nguy cơ sai khớp cắn và biến dạng xương hàm sẽ tăng rõ rệt.
Vì sao trẻ thích mút vú giả?
Nhu cầu an toàn và thư giãn: Trẻ nhỏ tìm đến việc mút núm vú giả hoặc ngón tay như một cách tự an ủi, đặc biệt khi bị tách khỏi cha mẹ, đối diện người lạ hay môi trường mới. Hành vi này giúp trẻ bớt căng thẳng và dễ ngủ hơn.
Lợi ích y học trong một số tình huống
• Tăng ngưỡng chịu đau: Núm vú giả giúp giảm khó chịu trong các thủ thuật y khoa nhỏ.
• Hỗ trợ giấc ngủ: Ở trẻ 1-4 tuổi, ngậm vú giả giúp giảm nhịp tim khi ngủ, ngủ sâu hơn.
• Tăng cân ở trẻ sinh non: Khi kết hợp với âm nhạc, núm vú giả kích thích trẻ sinh non bú miệng, tăng hiệu quả hấp thu dinh dưỡng.
• Giảm nguy cơ đột tử sơ sinh: Nghiên cứu cho thấy núm vú giả khi ngủ giúp thay đổi vị trí lưỡi, tăng trương lực cơ đường hô hấp, kích thích hô hấp - qua đó giảm nguy cơ mắc hội chứng này. Tuy nhiên do các tác dụng phụ tiềm năng của nó, họ đề nghị chỉ dành cho trẻ dưới 1 tuổi.

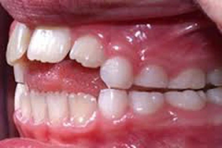
Trường hợp trẻ bị vẩu răng cửa liên qua vú giả - Ảnh: BSCC
Hệ lụy khó lường
Những lợi ích kể trên chỉ có tác dụng khi trẻ còn nhỏ và được sử dụng ngắn hạn. Khi thói quen kéo dài, vú giả sẽ mang lại nhiều hệ lụy khó lường cho sự phát triển răng hàm mặt và tâm sinh lý của trẻ.
Lệch lạc răng và xương hàm
- Cắn hở: Răng cửa trên và dưới không chạm nhau khi cắn.
- Vẩu răng cửa: Răng cửa trên chìa ra trước, dưới thụt vào.
- Hàm hẹp, cắn chéo: Vú giả làm hàm trên hẹp, răng nanh lệch lạc.
- Sai khớp cắn vĩnh viễn: Nếu kéo dài sau 4 tuổi, những lệch lạc này có thể tồn tại suốt đời, buộc phải chỉnh nha phức tạp.
Sâu răng: Sử dụng núm vú giả liên tục trong 18 tháng là yếu tố nguy cơ sâu răng cao, có thể gấp đôi so với nhóm không sử dụng núm vú giả.
Chậm nói và hạn chế phát triển ngôn ngữ: Trẻ dùng vú giả lâu ngày có nguy cơ chậm nói gấp 3 lần. Núm vú giả lấp đầy khoang miệng, hạn chế khả năng bập bẹ, bắt chước âm thanh. Nhiều chuyên gia cho rằng cha mẹ "mua sự yên tĩnh" bằng cái giá là sự phát triển ngôn ngữ của trẻ.
Nguy cơ viêm tai giữa: Có những nghiên cứu cho thấy ngậm núm vú giả ở trẻ <4 tuổi nguy cơ viêm tai giữa tái phát tăng gấp đôi. Lý do là vi khuẩn dễ dàng từ mũi lan vào tai giữa.
Ảnh hưởng tâm lý và cảm xúc: Các bé trai ngậm vú giả nhiều có khả năng bắt chước biểu cảm kém, điểm số trí tuệ cảm xúc thấp hơn khi trưởng thành. Hiện tượng này được so sánh với việc tiêm botox làm tê cơ mặt, khiến biểu cảm hạn chế. Bé gái ít bị ảnh hưởng hơn, có thể do sự linh hoạt trong phát triển cảm xúc.
Nghiện núm vú giả: Trẻ có thể phụ thuộc, không thể ngủ nếu thiếu vú giả. Khi cha mẹ rút đi, trẻ quấy khóc dữ dội, gây áp lực tinh thần cho cả gia đình.
Ảnh hưởng đến bú mẹ: Trẻ có thể "nhầm lẫn núm vú": lưỡi đặt sai vị trí, từ chối bú mẹ. Bú mẹ ít đi làm mẹ giảm tiết sữa, trẻ thiếu dinh dưỡng quý giá.
- Bên cạnh đó có thể có nguy cơ: Trẻ nghẹn, nghẹt thở khi vú giả rơi; Dị ứng với nhựa làm vú giả; Nhiễm khuẩn nếu vệ sinh kém.
Làm thế nào để giúp trẻ bỏ thói quen?
Để loại bỏ thói quen ngậm núm vú giả, có thể sử dụng nhiều cách khác nhau như: (1) Gián đoạn đột ngột. (2) Cha mẹ giải thích cho trẻ những hậu quả xấu của thói quen, bạn bè có thể cười nhạo. (3) Bôi chất khó chịu lên vú giả. (4) Bác sĩ răng hàm mặt sẽ tư vấn khuyên trẻ bỏ bằng cách giải thích và yêu cầu cha mẹ treo các giải thưởng động viên trẻ.
Ngoài ra hiện nay có các loại vú giả chỉnh nha, được thiết kế hạn chế phần nào tác động xấu đến xương hàm. Tuy nhiên đây chỉ là giải pháp tạm thời, không thay thế cho việc cai bỏ đúng lúc.
Lời khuyên thực tế cho cha mẹ:
• Cai vú giả trước 3-4 tuổi.
• Duy trì bú mẹ hoàn toàn trong 6 tháng đầu, kết hợp bú mẹ đến 2 tuổi.
• Cai từ từ: giảm thời gian dùng trong ngày, chỉ cho ngậm khi buồn ngủ, rồi loại bỏ hẳn.
• Khen thưởng, khuyến khích để trẻ tự hào khi bỏ được vú giả.
• Đưa trẻ đi khám nha khoa định kỳ để phát hiện sớm sai khớp cắn.
Không thể phủ nhận: trong nhiều trường hợp, núm vú giả là một "công cụ hữu ích" giúp trẻ sơ sinh yên tĩnh, giảm đau, cải thiện giấc ngủ, hỗ trợ trẻ sinh non. Nhưng sự thật là lợi ích chỉ tồn tại trong khoảng thời gian ngắn và đúng điều kiện. Khi cha mẹ lạm dụng hoặc trì hoãn việc cai bỏ, núm vú giả sẽ từ "người bạn" biến thành "thủ phạm" gây ra nhiều hệ quả lâu dài cho sức khỏe và thẩm mỹ của trẻ.
Thông điệp quan trọng nhất là:
• Dùng đúng thời điểm (trẻ dưới 1 tuổi, sau khi đã bú mẹ tốt).
• Dùng đúng cách (sạch sẽ, an toàn, không buộc dây nguy hiểm).
• Cai đúng lúc (trước 3-4 tuổi).
Tối đa: 1500 ký tự
Hiện chưa có bình luận nào, hãy là người đầu tiên bình luận