Tag: Bệnh viện Nhi đồng 2

Đi viện muộn, cậu bé 14 tuổi mất tinh hoàn vì lỡ 'giờ vàng'

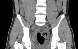
Xoắn tinh hoàn là cấp cứu tối khẩn, nhưng nhiều trẻ đến viện quá muộn. Trường hợp cậu bé 14 tuổi buộc cắt bỏ tinh hoàn là lời cảnh báo đau lòng.

Tin tức sáng 24-12: Cho phép thí điểm cơ chế, chính sách đặc thù phát triển Hà Nội, Đà Nẵng, TP.HCM

Tin tức đáng chú ý: Thí điểm cơ chế, chính sách đặc thù phát triển Hà Nội, Đà Nẵng, TP.HCM; Thường vụ Quốc hội xem xét quy định mới về tiếp công dân, xử lý đơn, thư khiếu nại, tố cáo; Tặng miễn phí phần mềm quản lý phòng khám và nhà thuốc...

Tin tức sáng 21-12: Quy định mới về bảng giá đất; Côn Đảo sắp có tuyến buýt điện đầu tiên

Tin tức đáng chú ý: Quy định mới về bảng giá đất; Côn Đảo sắp có tuyến buýt điện đầu tiên; Chủ tịch UBND cấp xã có thể xét thăng tiến nghề nghiệp với giáo viên?...

'Giáng sinh yêu thương' ở Bệnh viện Nhi đồng 2

Bệnh viện Nhi đồng 2 (TP.HCM) tổ chức chương trình "Giáng sinh yêu thương", động viên tinh thần cho hàng ngàn bệnh nhi đang điều trị tại bệnh viện.

Ruột thừa vỡ 10 ngày gây áp xe 'khổng lồ', bé trai 3 tuổi được cứu kịp thời

Một bé trai 3 tuổi vừa được các bác sĩ Bệnh viện Nhi đồng 2 cứu sống ngoạn mục sau khi phát hiện một ổ áp xe bụng “khổng lồ” hình thành do ruột thừa vỡ suốt 10 ngày.

Trao tặng 800 phần cơm và 130 triệu đồng viện phí cho bệnh nhi nghèo

Hơn 20 tình nguyện viên, nhà hảo tâm phối hợp cùng phòng công tác xã hội Bệnh viện Nhi đồng 2, TP.HCM chung tay trao tặng hơn 800 phần cơm trưa, sữa dinh dưỡng và đóng 130 triệu đồng viện phí cho bệnh nhi nghèo khó khăn, trưa 8-12.

Bệnh viện Nhi đồng 2 kéo dài chi thành công cho một bé trai 13 tuổi

Một cậu bé 13 tuổi bị thiểu sản xương mác vừa được các bác sĩ Bệnh viện Nhi đồng 2 TP.HCM cùng các bác sĩ ở Pháp kéo dài chi bằng khung cố định ngoài, giúp chỉnh lại trục chân và cải thiện chênh lệch chiều dài chi.

Sau 3 năm khởi công Trung tâm điều trị kỹ thuật cao Bệnh viện Nhi đồng 2 vẫn đang gặp khó, vì sao?

Trung tâm điều trị kỹ thuật cao Bệnh viện Nhi đồng 2 kỳ vọng là cơ sở vật chất để hình thành và phát triển trung tâm ghép tạng, phẫu thuật và hồi sức cấp cứu nhi khoa chuyên sâu khu vực phía Nam. Nhưng sau 3 năm, dự án hiện vẫn đang gặp khó.

Trẻ mắc bệnh hô hấp tăng, 9 y bác sĩ xuyên đêm chăm gần 200 bệnh nhi

Giữa cao điểm bệnh hô hấp, kíp trực gồm 2 bác sĩ, 7 điều dưỡng của khoa hô hấp 1 Bệnh viện Nhi đồng 2 (TP.HCM) miệt mài chăm sóc, điều trị xuyên đêm cho gần 200 bệnh nhi.

Cậu bé 14 tuổi bị liệt hai chân do đứt tủy sống sau tai nạn giao thông

Một cậu bé 14 tuổi ở Khánh Hòa bị liệt hai chân do đứt tủy sống sau tai nạn giao thông vừa được các bác sĩ Bệnh viện Nhi đồng 2 (TP.HCM) phẫu thuật cố định cột sống. Dù khả năng phục hồi vận động rất thấp, ê kíp vẫn nỗ lực cứu chữa...